Carrera 43 # 33 B Sur - 85
Envigado, Colombia


Conoce el contenido que verás en esta página. Si quieres ir directo a un tema en específico, dale clic y lo ubicaremos para ti.
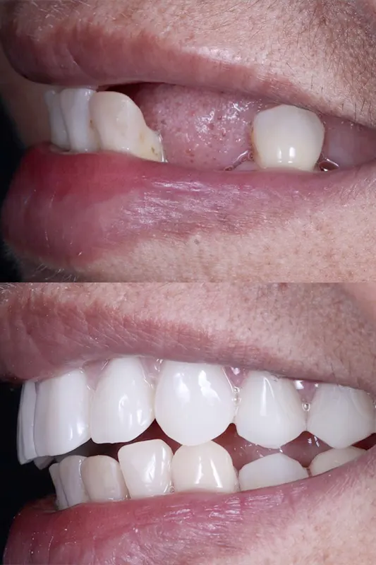
La Rehabilitación Oral incorpora varias especialidades como, la endodoncia, periodoncia y cirugía dental, tiene como objetivo principal restaurar bocas enteras en muy mal estado, para devolverle al paciente la función y la estética, contribuyendo a la recuperación total de su salud bucal.
Además, en algunos casos este procedimiento se apoya en la especialidad de la Ortodoncia, que puede ser necesaria al inicio o al final del tratamiento, para modificar o mejorar la posición dental y alcanzar la excelencia en el resultado final.
En el tratamiento de Rehabilitación Oral y estética dental, en Marr Dental realizamos una planificación minuciosa de cada caso para lograr excelentes resultados. Conoce el paso a paso paso de este innovador tratamiento, para que vuelvas a sonreír con total confianza:
Este tipo de tratamiento incluye diversas especialidades, las cuales realizan una evaluación exhaustiva al paciente, determinando el tratamiento de Rehabilitación Oral definitivo.
El dentista especialista en Rehabilitación Oral, realiza una serie de fotografías y toma medidas de la cavidad bucal, para registrar el estado inicial del caso. Estos datos son vaciados en el ordenador para recrear el diseño de la sonrisa.
En este paso realizamos los tratamientos dentales que implican la limpieza dental profunda o tratamiento periodontal (tratamiento de encías), extracciones de dientes, tratamiento de posibles infecciones, endodoncia dental y reconstrucciones dentales (empastes).
Etapa opcional, en caso de ser necesario se llevan a cabo los procedimientos de regeneración ósea o injertos de hueso y colocación de implantes dentales.
En esta fase se instalan las prótesis dentales, puentes, coronas, incrustaciones, carillas y prótesis de implantes. Con este último paso, toda rehabilitación dental puede verse completada.
Revisiones periódicas y protocolo de higiene oral personalizado para cada paciente y su organismo, para garantizar que el resultado obtenido perdure en el tiempo

La Rehabilitación Oral o Rehabilitación Dental está indicada para aquellos pacientes que por motivo de un golpe, una enfermedad periodontal, por un traumatismo o desgaste han perdido algunos dientes, o es necesario extraerlos. En estos casos la restauración se llevará a cabo mediante la colocación de implantes, prótesis completas o la combinación de ambos.
Perder una o más piezas dentales implica que el hueso maxilar no tendrá el estímulo necesario para continuar funcionando adecuadamente. El impacto que ejercen las raíces dentales sobre los maxilares previene la deformación de la cara y el aspecto envejecido prematuro.
Sin embargo, la falta de piezas dentales ya no es un problema, en Marr Dental ponemos a tu servicio nuestra tecnología y los mejores especialistas para que logres recuperar la estética y las funciones orales más importantes, como lo son la masticación y fonoarticulación.
Conoce las bondades de la Rehabilitación Oral tanto en tu salud bucodental, como en la salud en general:
En Marr Dental te ofrecemos soluciones reales e inmediatas para que logres una sonrisa estética con resultados muy naturales.
Considera las siguientes recomendaciones para lograr una sonrisa saludable:
En nuestra clínica dental apostamos por la calidad y la excelencia de los tratamientos que ofrecemos.
En Marr Dental contamos con un grupo de especialistas altamente cualificados en cada área de la odontología, que trabajan juntos para brindarte soluciones integrales al más alto nivel técnico.
¡Contáctanos! Transformamos bocas con severos problemas, en sonrisas sanas y perfectas.

Diligencia nuestro formulario de contacto para recibir atención de nuestros especialistas.